Invisalign
Straighten Your Teeth Discreetly and Confidently with Invisalign Treatment at Ravenhill
Ravenhill Dental Care. Middle Rd, Ravenhill, Swansea SA5 5DH
Ravenhill Dental Care – Achieve Your Most Confident Smile
At Ravenhill Dental Care, we’re proud to bring our patients the confidence of Invisalign, a modern, comfortable way to straighten teeth without the look or feel of traditional braces. Instead of brackets and wires, Invisalign uses clear, removable aligners that are almost invisible, so you can improve your smile discreetly.
The smooth trays are designed to fit snugly, reducing irritation and blending seamlessly into your daily routine. Many of our patients love that Invisalign allows them to keep living life as normal, whether that’s enjoying a meal out, brushing and flossing with ease, or smiling freely at work and social events.

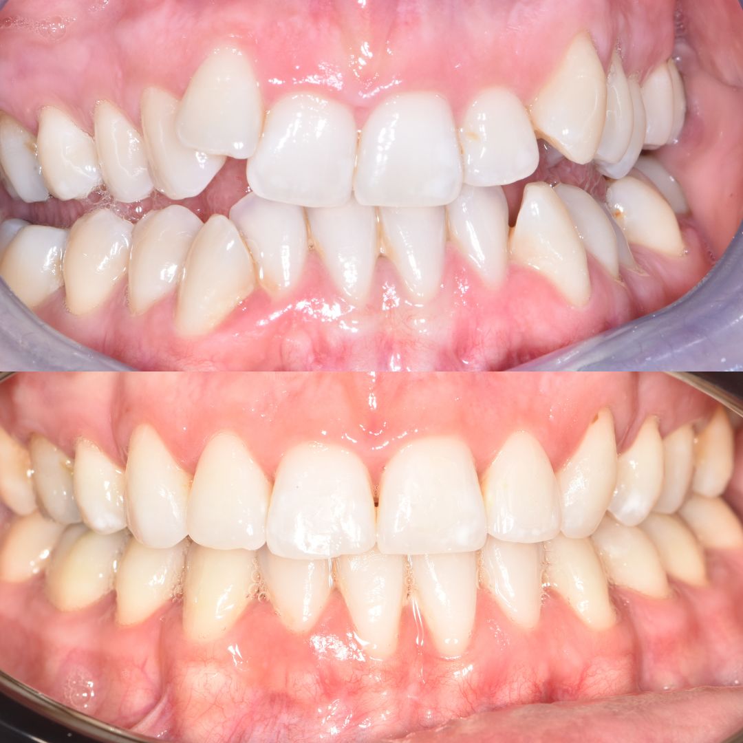
Correction of sever upper and lower crowding with fixed clear braces
What Is Invisalign and How Does It Work?
Invisalign is a brand of clear aligners that have been around for almost 25 years. They are proven to be an effective way to straighten misaligned teeth and correct a number of dental issues, being both discreet and removable for functionality.
Patients will wear a series of plastic moulds that work to gradually and gently move teeth into their optimal position. The moulds are regularly changed with the average treatment time being 12 to 18 months.
Invisalign aligners are practically invisible when worn and suitable for both teenagers and adults alike.
Who Is Suitable for Invisalign Treatment?
Invisalign treatment is best suited to people with fairly straightforward crowding and/or bite issues. Given that they are clear, they are a great choice for people who would rather wear discreet aligners rather than metal braces. It is important that patients are able to take proper care of the aligners and ensure that they wear them as advised.
Why Choose Invisalign treatment at Ravenhill Dental Care?
Our team wants you to love your smile for life and to help you start your Invisalign journey.

Discover the path to a beautifully aligned smile with Invisalign Aligners at Ravenhill Dental Care
We understand the importance of a confident and radiant smile and our Invisalign treatments offer a discreet and effective solution to straightening your teeth. Unlike traditional braces, Invisalign Aligners are virtually invisible, allowing you to undergo orthodontic treatment with confidence and minimal disruption to your daily life.
At Ravenhill Dental Care, our skilled dentists will customise clear, removable aligners tailored to your unique dental needs. These aligners gently and gradually shift your teeth into the desired position, offering a comfortable and inconspicuous alternative to conventional braces. Invisalign Aligners are also really easily removable, making eating, brushing and flossing a breeze without the restrictions associated with traditional braces.
When you opt for Invisalign treatment, the first step is to create a 3D image of your mouth and jaw. Your dentist will then be able to create a personalised plan and a series of aligners that patients will wear throughout their treatment.
Each case of Invisalign treatment is different, though patients will generally move to a new set of aligners every 1 to 2 weeks. The aligners work by applying gentle pressure to the teeth, allowing them to gradually shift into place.
It’s that simple! Invisalign clear aligners are so comfortable to wear, it’s natural to forget that you are even wearing them.
Here is a breakdown of the primary benefits of wearing Invisalign braces:
- Practically invisible.
- More comfortable to wear than other types of braces.
- Can be removed for eating and brushing
- Require fewer dental visits than other types of braces.
- Short treatment times
- Effective at treating spacing, crowding, and bite issues.
- Affordable (similar cost to metal braces) It is worth expanding on the fact that Invisalign aligners are removable for eating and brushing.
- Metal and other types of braces may limit the kinds of foods that patients can eat; this is not the case with Invisalign.
- The fact that they are removable also allows for normal brushing and flossing.
There are very few cons when it comes to straightening teeth with Invisalign clear aligners. That said, they may not be suitable for everyone. The aligners may be less effective than some other types of braces for very complex dental issues.
Invisalign also requires compliance, given that they can be removed for a portion of the day. For people who are prone to losing things or are worried that they may forget to wear the aligners for sufficient time each day, they may not be the best choice.
That’s an easy one to answer: Simply schedule a consultation with Ravenhill Dental Care or speak to any member of our practice team. We are proud to offer Invisalign treatment to our patients, as an effective and aesthetic alternative to traditional braces.
When you choose Ravenhill Dental Care, there are just 3 easy steps to having straight teeth. Firstly, book your consultation; secondly, review your customised treatment plan; and finally, follow your treatment plan and watch your smile transform in front of your eyes.
The cost of Invisalign treatment is comparable to the cost of traditional braces. As each case is different, your dentist will be able to give you an accurate cost. Speak to any member of the Ravenhill Dental Team for further information.









